Understanding Dental Veneers

Understanding Dental Veneers

Understanding Dental Veneers, dental shells, cosmetic tooth covering, tooth restoration, dental aesthetics, smile enhancement, dental bonding, porcelain veneers, composite veneers, tooth imperfections, dental transformation, dental procedure, dental treatment, dental options, dental solution, dental craftsmanship, tooth improvement, dental alternatives, aesthetic dentistry, dental materials, naturallooking smile, dental defects, dental makeover, dental restoration, dental experts

What Are Dental Veneers?

Dental veneers are thin, custom-made shells crafted to cover the front surface of teeth, aiming to improve their appearance and address various dental imperfections. These versatile shells can effectively conceal discolored, chipped, or misaligned teeth, providing a natural-looking and aesthetically pleasing smile. By opting for dental veneers, individuals can experience a significant boost in self-confidence and self-esteem, knowing that their teeth look flawless and radiant. Whether it's porcelain or composite veneers, the choice depends on factors like cost, durability, and specific dental needs. The veneer procedure involves thorough consultation, teeth preparation, and the final placement of the veneers, ensuring a long-lasting and durable solution for a captivating smile.

Unveiling the Remarkable Benefits of Dental Veneers for a Radiant Smile

Are you ready to discover the remarkable benefits that dental veneers bring to your smile? These thin, custom-made shells work wonders in enhancing your teeth's appearance and addressing various dental imperfections. From concealing discolored, chipped, or misaligned teeth to providing a natural-looking and aesthetically pleasing smile, dental veneers can boost your self-confidence and self-esteem. Whether you opt for porcelain or composite veneers, the choice depends on factors like cost, durability, and your specific dental needs. The veneer procedure involves thorough consultation, teeth preparation, and the final placement of the veneers, ensuring a long-lasting and durable solution for a captivating smile. Embrace the transformative power of dental veneers and unleash the radiance of your smile!

Discover the Transformative Benefits of Dental Veneers with Trusted Professionals at Colby Dental

Dental veneers have become a sought-after cosmetic dentistry solution, and their popularity continues to grow. As more people discover the transformative benefits of dental veneers in achieving a radiant smile, the demand for reputable dental practices offering this service has also increased. Understanding the intricate process of getting dental veneers is crucial, and that's where trusted dental professionals like Colby Dental come into play. Through a research collaboration with experts from , Colby Dental stays at the forefront of advancements in veneer technology and patient care. With their expertise and state-of-the-art facilities, they ensure that the procedure is tailored to each individual's specific dental needs, ensuring optimal results and leaving patients with a confident and captivating smile.

Assessing Candidacy For Dental Veneers

When considering dental veneers, assessing candidacy is crucial for a successful outcome and long-term satisfaction. A thorough dental evaluation by a qualified dentist is the first step, ensuring that the individual's oral health is in good condition, with no active gum disease or tooth decay. Presence of dental imperfections such as discoloration, chips, or misalignment makes one a potential candidate for veneers. Sufficient tooth enamel is necessary for veneer bonding. Additionally, having realistic expectations and clear communication with the dentist is vital. Understanding the limitations and potential alternatives to veneers helps in making informed decisions. Candidacy also involves having no teeth grinding or clenching habits and being committed to maintaining good oral hygiene. To preserve the veneers, individuals must avoid habits that may cause damage, such as nail-biting or chewing on hard objects. Willingness to attend regular follow-up appointments for monitoring and adjustments further ensures the success of dental veneers.

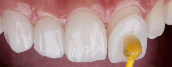
The Dental Veneer Procedure: A Step-By-Step Guide To Achieving Your Perfect Smile

Embarking on the journey to achieve your perfect smile through dental veneers involves a step-by-step procedure that ensures remarkable results. First, an initial consultation with a skilled dentist is essential to discuss your goals and assess your dental health. During the procedure, the dentist will prepare your teeth by removing a small amount of enamel to accommodate the veneers. Precise impressions of your teeth will be taken to craft custom-made veneers that perfectly fit your smile. While waiting for the final veneers, temporary ones may be placed for protection and aesthetics. Once ready, the dentist will carefully bond the permanent veneers to your teeth, making necessary adjustments for a seamless fit. The result is a captivating smile that enhances your appearance and boosts your confidence, leaving you with a truly radiant and perfect smile.

Exploring The Distinctions: Porcelain Vs. Composite Veneers For Your Ideal Smile

Delving into the world of dental veneers, it's essential to understand the differences between two popular options: porcelain and composite veneers. Porcelain veneers, crafted from high-quality ceramic, offer exceptional durability and a natural, translucent appearance. On the other hand, composite veneers are made from a tooth-colored resin, providing a more cost-effective solution with relatively straightforward application. While porcelain veneers boast longevity and resistance to stains, composite veneers are easily repairable if damaged. Your choice between these veneer types depends on factors such as budget, aesthetic preferences, and specific dental needs. Consulting with a skilled dentist will help you make an informed decision, ensuring your ideal smile becomes a reality.

Understanding Dental Veneers: Key Concepts

Dental Veneers Definition
What are dental veneers? Dental veneers are thin custom-made shells that cover the front surface of teeth to enhance their appearance and address various dental imperfections.
Types of dental veneers Porcelain and composite veneers are the two main types, each with distinct characteristics and advantages.
Benefits of dental veneers Veneers can improve self-confidence by concealing dental issues like discoloration, chips, or misalignment, resulting in a radiant smile.
Candidacy for Dental Veneers Assessment and Considerations
Qualifications for veneers A thorough evaluation by a dentist is necessary to determine if an individual is a suitable candidate for dental veneers.
Oral health requirements Good oral health, absence of active gum disease or tooth decay, and sufficient enamel are essential for successful veneer placement.
Expectations and communication Having realistic expectations and clear communication with the dentist are crucial factors for a satisfying veneer experience.
The Dental Veneer Procedure Step-by-Step Guide
Initial consultation The first step involves consulting with a skilled dentist to discuss goals and assess dental health.
Teeth preparation The dentist will prepare the teeth by removing a small amount of enamel to accommodate the veneers.
Impressions and custom veneers Precise impressions of the teeth are taken to create custom-made veneers for a perfect fit.
Temporary veneers In some cases, temporary veneers may be placed while waiting for the final ones to be crafted.
Final veneer bonding The dentist will carefully bond the permanent veneers to the teeth, making any necessary adjustments for an ideal result.
Porcelain vs. Composite Veneers Comparing Characteristics
Material composition Porcelain veneers are made from ceramic, while composite veneers use tooth-colored resin.
Aesthetics and cost Porcelain veneers offer a natural appearance and durability but are relatively more expensive than composite veneers.
Repairability While porcelain veneers are resistant to stains and long-lasting, composite veneers are easily repairable if damaged.
Aftercare and Maintenance Tips for Preserving Your Veneers
Oral hygiene Committed maintenance of good oral hygiene practices is vital for preserving the longevity of dental veneers.
Habits to avoid Avoiding habits like teeth grinding, nail-biting, and chewing on hard objects can prevent damage to veneers.
Follow-up appointments Regular check-ups and follow-up appointments with the dentist help monitor and maintain the condition of veneers.
Real Patient Experiences Testimonials and Success Stories
Learning from others Reading about real patient experiences can offer insights and address common concerns about dental veneers.
Positive outcomes Discover success stories of individuals who have achieved confidence and satisfaction through veneers.
Addressing concerns Real patient experiences can help address doubts and provide valuable information for making informed decisions.

Maintaining Dental Veneers: Tips For Long-Lasting Brilliance

Maintaining the brilliance of dental veneers is essential to ensure their long-lasting beauty and functionality. Good oral hygiene practices play a pivotal role in preserving the veneers' radiance. Regular brushing, flossing, and using a non-abrasive toothpaste will help prevent stains and maintain a healthy smile. Additionally, it's crucial to avoid habits like teeth grinding, nail-biting, and chewing on hard objects, as these can damage the veneers. Maintaining regular dental check-ups and follow-up appointments will allow the dentist to monitor the condition of the veneers and address any concerns promptly. By adopting these simple yet effective tips, you can keep your dental veneers looking brilliant and your smile dazzling for years to come.

Potential Risks And Side Effects: Safeguarding Your Dental Veneer Journey

Embarking on a dental veneer journey comes with its share of potential risks and side effects that necessitate careful consideration. While veneers are generally safe and effective, some individuals may experience temporary sensitivity or discomfort after the procedure. It's essential to follow the dentist's post-procedure instructions diligently to minimize any adverse effects. In rare cases, veneers may become loose or dislodged, requiring prompt dental attention. Understanding these potential risks and side effects and maintaining good oral hygiene practices can safeguard your dental veneer journey, ensuring a dazzling and confident smile for years to come.

Costs And Financing Options: Making Dental Veneers Affordable For Your Perfect Smile

Costs and financing options play a crucial role in making dental veneers an accessible solution for achieving your perfect smile. The overall cost of veneers may vary based on factors such as the number of teeth being treated, the type of veneers chosen, and the dentist's expertise. While porcelain veneers tend to be more expensive than composite veneers, their durability and natural appearance justify the investment. Many dental practices offer financing plans or payment options to accommodate patients' budgets and make veneers more affordable. Exploring these financing options can help you embark on your dental veneer journey with confidence, knowing that your dream smile is within reach.

Aftercare And Long-Term Maintenance Of Dental Veneers: Preserving Your Radiant Smile

Aftercare and long-term maintenance are key to preserving your radiant smile and ensuring the longevity of dental veneers. Embracing good oral hygiene practices is vital in safeguarding the veneers' brilliance. Regular brushing and flossing, along with non-abrasive toothpaste, help prevent stains and maintain a healthy smile. Avoiding habits like teeth grinding, nail-biting, and chewing on hard objects is crucial to prevent any potential damage to the veneers. Consistent dental check-ups and follow-up appointments allow the dentist to monitor the condition of the veneers and address any concerns promptly. With diligent aftercare and maintenance, you can enjoy the captivating beauty of your dental veneers for years to come.

Choosing The Right Dental Veneer Option For You: Your Path To A Dazzling Smile

Choosing the right dental veneer option is a crucial step on your path to achieving a dazzling smile that exudes confidence. With a variety of veneer types available, understanding their unique characteristics and benefits will help you make an informed decision. Porcelain veneers offer unparalleled durability and a natural appearance, making them an excellent choice for long-term results. On the other hand, composite veneers provide a more budget-friendly option while still delivering satisfactory aesthetics. Consulting with a skilled dentist will ensure that your specific dental needs and preferences are taken into account, guiding you towards the ideal veneer option that perfectly complements your unique smile, leaving you with a truly radiant and captivating outcome.

Top 3 Understanding Dental Veneers Fun Facts

  1. Dental veneers were first developed in the early 20th century for actors and actresses to enhance their smiles on-screen.
  2. Porcelain veneers can resist stains better than natural teeth, making them a popular choice for a long-lasting, bright smile.
  3. The veneer procedure is minimally invasive, requiring only a small amount of enamel removal, resulting in a comfortable experience for patients.

Understanding Dental Veneers FAQ

Dental veneers are thin, custom-made shells crafted to cover the front surface of teeth, aiming to improve their appearance and address various dental imperfections. These versatile shells can effectively conceal discolored, chipped, or misaligned teeth, providing a natural-looking and aesthetically pleasing smile.

Dental veneers are considered a permanent cosmetic solution, as a small amount of enamel is typically removed during the preparation process. However, they may need replacement over time due to natural wear and tear.

The duration of the veneer procedure varies depending on individual cases and the number of veneers needed. Generally, it can take a few weeks from the initial consultation to the final placement of the veneers.